티스토리 뷰
폐렴이 발생하는 원인에 대해 알아보고 치료하는 절차를 설명하겠습니다. 끝으로 폐렴으로 인해 생길 수 있는 후유증에 대해서도 설명합니다.
1. 폐렴의 발생 원인
2. 치료 절차
3. 발생 가능한 후유증

폐렴의 발생 원인
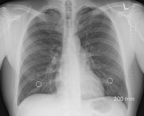
폐렴은 폐 조직에 염증이 발생하는 감염성 질환으로, 다양한 원인에 의해 발생할 수 있습니다. 주로 세균, 바이러스, 곰팡이, 기생충 등이 폐렴을 일으키며, 각각의 원인에 따라 증상과 치료법이 달라집니다. 세균이 원인인 폐렴은 가장 흔한 유형으로, 주로 스트렙토코커스 폐렴니에, 하모필루스 인플루엔자, 파스튜렐라 등이 포함됩니다. 일반적으로 기침, 발열, 가슴 통증 등의 증상이 나타나며, 항생제로 치료됩니다. 바이러스가 원인인 폐렴은 감기나 인플루엔자 바이러스에 의해 일어납니다. 기침, 발열, 몸살, 피로 등의 증상이 나타날 수 있으며, 증상을 완화하기 위해 쉬고 약을 복용하는 것이 주요 치료 방법입니다. 곰팡이나 곰팡이류가 원인인 폐렴은 주로 실내 습기가 높은 환경에서 발생합니다. 급성 기침, 호흡곤란, 발열 등의 증상이 나타나며, 항진균제를 투여하여 치료됩니다. 기생충에 의한 폐렴은 비교적 드물지만, 페우모노시스티스 카린스와 같은 기생충이 원인일 수 있습니다. 기침, 호흡곤란, 가슴 통증 등이 나타나며, 적절한 항기생충제를 사용하여 치료됩니다. 폐렴은 각각의 원인에 따라 치료 방법과 전망이 달라지므로, 증상이 나타날 경우 즉시 의료 전문가와 상담하고 적절한 치료를 받는 것이 중요합니다. 또한, 예방을 위해서는 손 씻기, 호흡기 감염 예방, 백신 접종 등의 일상적인 예방 수칙을 지키는 것이 중요합니다.
치료 절차
폐렴은 감염성 질환으로 폐 조직에 염증이 발생하는 질병입니다. 폐렴의 치료 절차는 감염의 원인과 심각성에 따라 다소 상이할 수 있지만, 일반적으로 다음과 같은 절차로 진행됩니다. 의료 전문가는 환자의 증상과 신체 검사, X-레이, 혈액검사, 기침 표본 검사 등을 통해 폐렴인지를 확인하고 감염의 원인을 파악합니다. 세균이 원인인 경우, 항생제를 투여하여 감염을 제거합니다. 항생제의 선택은 세균의 종류와 감수성 패턴, 환자의 연령, 건강 상태 등을 고려하여 결정됩니다. 바이러스가 원인인 경우에는 항바이러스 약물을 투여하여 바이러스의 증식을 억제합니다. 발열, 기침, 가래 등의 증상을 완화하기 위해 진통제, 해열제, 기침 억제제 등의 약물이 사용될 수 있습니다. 호흡이 어려운 경우나 산소 부족이 의심되는 경우, 산소 치료를 시행하여 호흡 기능을 개선합니다. 폐렴은 몸이 회복하기 위해 충분한 휴식이 필요합니다. 환자는 치료 기간 동안 적절한 휴식을 취해야 합니다. 감염으로 인해 탈수되는 것을 방지하기 위해 수액 치료를 시행합니다. 중증의 폐렴이나 취약한 군일 경우에는 입원하여 치료를 받는 것이 필요할 수 있습니다. 폐렴의 치료 절차는 환자의 상태와 감염의 원인에 따라 다를 수 있으며, 증상이 나타나면 즉시 의료 전문가와 상담하여 적절한 치료를 받는 것이 중요합니다. 특히 노인, 어린이, 만성 질환자 등은 폐렴에 더 취약하므로 예방을 위해 백신 접종과 규칙적인 예방접종을 권장합니다. 예방이 중요하며, 감염 예방을 위해 손 씻기, 마스크 착용, 건강한 식습관 등을 실천하는 것이 폐렴을 예방하는 데 도움이 됩니다.
발생 가능한 후유증
폐렴은 폐 조직의 염증으로 인해 발생하는 질병으로, 일반적으로 적절한 치료를 받으면 대부분 회복됩니다. 그러나 일부 환자들은 폐렴 후에 여러 가지 후유증을 경험할 수 있습니다. 폐렴 후유증은 폐 조직의 손상과 염증으로 인해 발생하는 것으로, 다음과 같은 후유증이 발생할 수 있습니다. 폐 조직의 염증으로 인해 기도가 좁아지거나 폐 기능이 저하되어 호흡곤란을 경험할 수 있습니다. 기침이 오래 지속되거나 가래가 발생할 수 있으며, 이는 폐에 남아있는 염증성 물질과 침샘의 과도한 분비 때문일 수 있습니다. 폐렴으로 인해 체력이 저하되고 피로를 느끼는 경우가 있습니다. 폐렴 후에 폐 조직에 잔여 손상이 남을 수 있으며, 이로 인해 호흡 기능이 일시적으로나 영구적으로 손상될 수 있습니다. 폐렴이 완전히 치료된 것으로 여겨지더라도, 재발할 수 있으므로 폐렴 예방에 주의해야 합니다. 폐렴으로 인해 기관지가 자극되고 기관지염이 발생하거나, 기존의 천식이 악화될 수 있습니다. 폐렴 후에는 폐 조직의 염증이 다른 기관에도 영향을 미치는 경우가 있을 수 있으며, 이로 인해 심장, 신장 등 다른 기관의 문제가 발생할 수 있습니다. 폐렴 후유증은 각 개인에 따라 다르며, 특히 나이, 건강 상태, 치료의 적절성 등에 따라 다양합니다. 폐렴을 경험한 후에는 치료가 완료되었다고 해서 반드시 회복되는 것은 아니므로, 치료 후에도 꾸준한 관찰과 복원치료가 필요합니다. 만약 폐렴 후에 지속적인 증상이나 기타 이상을 느끼면 즉시 의료 전문가와 상담하여 적절한 대응을 취하는 것이 중요합니다. 또한 폐렴 예방을 위해 규칙적인 예방접종과 건강한 생활 습관을 지키는 것이 중요하며, 폐렴 발병 후의 회복을 위해서도 적절한 재활과 휴식이 필요합니다.
- Total
- Today
- Yesterday
- 신시도 자연휴양림 예약
- 워터밤 여수
- 2024 워터밤 대전
- 임종 예비 절차
- 워터밤
- 중국비자 사진 규격
- 사후 절차
- 2024 워터밤 여수
- 여권사진 규격맞추기
- 미지급 퇴직연금
- 근로장려금
- 신시도 자연휴양림
- 2024 워터밤
- 일본 엔화 신권
- 동두천 자연휴양림 예약
- 2024 워터밤 제주
- 엔화 신권
- 제주 워터밤
- 2024 워터밤 서울
- 중국 비자 사진
- 엔화 신권 발행
- 대구 워터밤
- 2024 워터밤 부산
- 국가장학금
- 엔화 교환
- 문화누리카드
- 배민클럽 무료체험
- 무의도 자연휴양림 예약
- 숨은 퇴직연금
- 서울달 예약
| 일 | 월 | 화 | 수 | 목 | 금 | 토 |
|---|---|---|---|---|---|---|
| 1 | 2 | 3 | 4 | |||
| 5 | 6 | 7 | 8 | 9 | 10 | 11 |
| 12 | 13 | 14 | 15 | 16 | 17 | 18 |
| 19 | 20 | 21 | 22 | 23 | 24 | 25 |
| 26 | 27 | 28 | 29 | 30 |